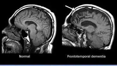
Demenza frontotemporale, che cos’è e quali sono i sntomi
Un gruppo non comune di disturbi può causare cambiamenti nella personalità, nel comportamento, nel linguaggio, nel movimento.leggi
Un gruppo non comune di disturbi può causare cambiamenti nella personalità, nel comportamento, nel linguaggio, nel movimento.leggi
I ricercatori dell’UCLA Health suggeriscono di utilizzare il Kundalini yoga per completare gli esercizi standard di allenamento della memoria.leggi
La dottoressa Martha Grogan, cardiologa della Mayo Clinic e direttrice della Cardiac Amyloid Clinic presso la Mayo Clinic di Rochester, Minnesota, spiega cos’è l’amiloidosi cardiaca, perché conoscere il tipo di amiloide è la chiave per il trattamento e cosa c’è all’orizzonte per aiutare i pazienti con questa rara condizione.leggi
Uno studio condotto dai ricercatori dell’IRCCS Ospedale San Raffaele dimostra per la prima volta come la somministrazione della molecola a basso dosaggio porta benefici ai pazienti con disturbo depressivo maggiore e disturbo bipolare.leggi
Alla Charité – Universitätsmedizin di Berlino hanno utilizzato i dati di 261 pazienti con malattia di Parkinson, distonia, disturbo ossessivo compulsivo o sindrome di Tourette che avevano precedentemente subito un intervento chirurgico per impiantare elettrodi nel nucleo subtalamico.leggi
Uno studio clinico su larga scala sulle strategie di trattamento per la malattia di Crohn ha dimostrato che offrire una terapia avanzata precoce a tutti i pazienti subito dopo la diagnosi può migliorare drasticamente i risultati, anche riducendo di dieci volte il numero di persone che richiedono un intervento chirurgicoleggi
Designed using Magazine News Byte. Powered by WordPress.
| Cookie | Durata | Descrizione |
|---|---|---|
| Google Fonts |
Google Fonts è un servizio di visualizzazione di stili di carattere gestito da Google Ireland Limited che permette a questo Sito Web di integrare tali contenuti all’interno delle proprie pagine.
Dati Personali trattati: Dati di utilizzo; varie tipologie di Dati secondo quanto specificato dalla privacy policy del servizio.
Luogo del trattamento: Irlanda – Privacy Policy. | |
| na_id | 1 year 1 month | Il na_id è impostato da AddThis per consentire la condivisione di collegamenti su piattaforme di social media come Facebook e Twitter. |
| na_rn | 1 month | Il cookie na_rn viene utilizzato per riconoscere il visitatore al rientro. Consente di registrare dettagli sul comportamento degli utenti e facilitare la funzione di condivisione social fornita da Addthis.com. |
| na_sc_e | 1 month | Il cookie na_sc_e viene utilizzato per riconoscere il visitatore al rientro. Consente di registrare dettagli sul comportamento degli utenti e facilitare la funzione di condivisione social fornita da Addthis.com. |
| na_sr | 1 month | Il cookie na_sr viene utilizzato per riconoscere il visitatore al rientro. Consente di registrare dettagli sul comportamento degli utenti e facilitare la funzione di condivisione social fornita da Addthis.com. |
| na_srp | 1 minute | Il cookie na_srp viene utilizzato per riconoscere il visitatore al rientro. Consente di registrare dettagli sul comportamento degli utenti e facilitare la funzione di condivisione social fornita da Addthis.com. |
| na_tc | session | Il cookie na_tc viene utilizzato per riconoscere il visitatore al rientro. Consente di registrare dettagli sul comportamento degli utenti e facilitare la funzione di condivisione social fornita da Addthis.com. |
| ouid | 1 year 1 month | Associato al widget AddThis, questo cookie aiuta gli utenti a condividere contenuti su vari forum di networking e condivisione. |
| Cookie | Durata | Descrizione |
|---|---|---|
| d | 3 months | Quantserve imposta questo cookie per tracciare in modo anonimo le informazioni su come i visitatori utilizzano il sito web. |
| Cookie | Durata | Descrizione |
|---|---|---|
| __gads | 1 year 24 days | Il cookie __gads, impostato da Google, è memorizzato nel dominio DoubleClick e tiene traccia del numero di volte in cui gli utenti vedono un annuncio, misura il successo della campagna e calcola le sue entrate. Questo cookie può essere letto solo dal dominio su cui sono impostati e non traccerà alcun dato durante la navigazione su altri siti. |
| _ga | 2 years | Il cookie _ga, installato da Google Analytics, calcola i dati di visitatori, sessioni e campagne e tiene anche traccia dell'utilizzo del sito per il rapporto di analisi del sito. Il cookie memorizza le informazioni in modo anonimo e assegna un numero generato casualmente per riconoscere i visitatori unici. |
| _gat_gtag_UA_192762191_1 | 1 minute | Impostato da Google per distinguere gli utenti. |
| _gid | 1 day | Installato da Google Analytics, il cookie _gid memorizza informazioni su come i visitatori utilizzano un sito Web, creando anche un rapporto analitico delle prestazioni del sito Web. Alcuni dei dati che vengono raccolti includono il numero dei visitatori, la loro origine e le pagine che visitano in modo anonimo. |
| CONSENT | 2 years | YouTube imposta questo cookie tramite i video di YouTube incorporati e registra dati statistici anonimi. |
| Google Tag Manager |
Google Tag Manager è un servizio di gestione dei tag fornito da Google Ireland Limited.
Dati Personali trattati: Dati di utilizzo.
Luogo del trattamento: Irlanda – Privacy Policy. | |
| u | 1 year | Questo cookie viene utilizzato da Bombora per raccogliere informazioni che vengono utilizzate in forma aggregata, per aiutare a capire come vengono utilizzati i siti Web o l'efficacia delle campagne di marketing o per personalizzare i siti Web per i visitatori. |
| uid | 1 year 1 month | Questo è un cookie UserID di Google che traccia gli utenti in vari segmenti del sito web. |
| Cookie | Durata | Descrizione |
|---|---|---|
| ab | 1 year | Di proprietà di agkn Neustar, questo cookie viene utilizzato per scopi pubblicitari e di targeting. |
| CMID | 1 year | Casale Media imposta questo cookie per raccogliere informazioni sul comportamento degli utenti, per pubblicità mirata. |
| CMPRO | 3 months | Il cookie CMPRO è impostato da CasaleMedia per il tracciamento anonimo degli utenti e per la pubblicità mirata. |
| CMPS | 3 months | Il cookie CMPS è impostato da CasaleMedia per il tracciamento anonimo dell'utente in base alle visite al sito web dell'utente, per la visualizzazione di annunci mirati. |
| CMST | 1 day | Casale Media imposta questo cookie per raccogliere informazioni sul comportamento degli utenti, per pubblicità mirata. |
| DSID | 1 hour | Questo cookie è impostato da DoubleClick per annotare l'identità utente specifica dell'utente. Contiene un ID univoco con hash/crittografato. |
| Google AdSense |
Google AdSense è un servizio di advertising fornito da Google Ireland Limited. Questo servizio usa il Cookie “DoubleClick”, che traccia l’utilizzo di questo Sito Web ed il comportamento dell’Utente in relazione agli annunci pubblicitari, ai prodotti e ai servizi offerti.
L’Utente può decidere in qualsiasi momento di disabilitare tutti i cookie DoubleClick andando su: Impostazioni Annunci.
Per una comprensione dell'utilizzo dei dati da parte di Google, si prega di consultare le norme per i partner di Google.
Dati Personali trattati: Cookie; Dati di utilizzo.
Luogo del trattamento: Irlanda – Privacy Policy – Opt Out. | |
| Google Analytics con IP anonimizzato |
Google Analytics è un servizio di analisi web fornito da Google Ireland Limited (“Google”). Google utilizza i Dati Personali raccolti allo scopo di tracciare ed esaminare l’utilizzo di questo Sito Web, compilare report e condividerli con gli altri servizi sviluppati da Google.
Google potrebbe utilizzare i Dati Personali per contestualizzare e personalizzare gli annunci del proprio network pubblicitario.
Questa integrazione di Google Analytics rende anonimo il tuo indirizzo IP. L'anonimizzazione funziona abbreviando entro i confini degli stati membri dell'Unione Europea o in altri Paesi aderenti all'accordo sullo Spazio Economico Europeo l'indirizzo IP degli Utenti. Solo in casi eccezionali, l'indirizzo IP sarà inviato ai server di Google ed abbreviato all'interno degli Stati Uniti.
Dati Personali trattati: Cookie; Dati di utilizzo. Durata cookie: https://developers.google.com/analytics/devguides/collection/analyticsjs/cookie-usage
Luogo del trattamento: Irlanda – Privacy Policy – Opt Out. | |
| id | 1 year 1 month | Impostato da Google DoubleClick, questo cookie viene utilizzato per creare profili utente per visualizzare annunci pertinenti. |
| IDE | 1 year 24 days | I cookie IDE di Google DoubleClick vengono utilizzati per memorizzare informazioni su come l'utente utilizza il sito Web per presentargli annunci pertinenti e in base al profilo dell'utente. |
| KADUSERCOOKIE | session | Il cookie, impostato da PubMatic, registra un ID univoco che identifica il dispositivo di un utente di ritorno su siti Web che utilizzano la stessa rete pubblicitaria. L'ID viene utilizzato per annunci mirati. |
| KTPCACOOKIE | session | Impostato da PubMatic, registra un ID univoco che identifica il dispositivo di un utente di ritorno su siti Web che utilizzano la stessa rete pubblicitaria. L'ID viene utilizzato per annunci mirati. |
| mc | 1 year 1 month | Quantserve imposta il cookie mc per tracciare in modo anonimo il comportamento degli utenti sul sito web. |
| pxrc | 2 months | Questo cookie è impostato da pippio per fornire agli utenti annunci pubblicitari pertinenti e limitare il numero di annunci visualizzati. |
| rlas3 | 1 year | RLCDN imposta questo cookie per fornire agli utenti annunci pubblicitari pertinenti e limitare il numero di annunci visualizzati. |
| test_cookie | 15 minutes | Il test_cookie è impostato da doubleclick.net e viene utilizzato per determinare se il browser dell'utente supporta i cookie. |
| uuid | 3 months | MediaMath imposta questo cookie per evitare che gli stessi annunci vengano mostrati ripetutamente e per pubblicità pertinente. |
| VISITOR_INFO1_LIVE | 5 months 27 days | Un cookie impostato da YouTube per misurare la larghezza di banda che determina se l'utente ottiene la nuova o la vecchia interfaccia del lettore. |
| YSC | session | Il cookie YSC è impostato da Youtube e viene utilizzato per tracciare le visualizzazioni dei video incorporati sulle pagine di Youtube. |
| yt-remote-connected-devices | never | YouTube imposta questo cookie per memorizzare le preferenze video dell'utente utilizzando il video YouTube incorporato. |
| yt-remote-device-id | never | YouTube imposta questo cookie per memorizzare le preferenze video dell'utente utilizzando il video YouTube incorporato. |
| yt.innertube::nextId | never | Questo cookie, impostato da YouTube, registra un ID univoco per memorizzare dati su quali video di YouTube l'utente ha visto. |
| yt.innertube::requests | never | Questo cookie, impostato da YouTube, registra un ID univoco per memorizzare dati su quali video di YouTube l'utente ha visto. |
| Cookie | Durata | Descrizione |
|---|---|---|
| GoogleAdServingTest | session | No description |
| ppwp_wp_session | 30 minutes | No description |